
カウンセリング・診断
- およその費用と治療期間
- 実際の治療実績の紹介
- 患者様のご質問に
歯科医師がお答え
このようなお悩みや不安から
矯正治療をためらって
いませんか?
CHECK
- 口元のコンプレックスを改善したい
- 周囲に気付かれずに
歯並びを整えたい
- 痛みが少ない
矯正治療を行いたい
- 矯正装置が目立つ治療はできるだけ避けたい
- 金属アレルギーが心配
- 毎日の食事や歯みがきは苦労したくない
- なんども通院しての
治療が難しい
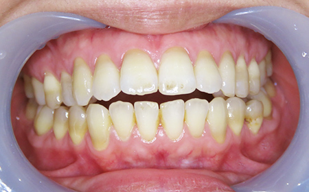
こんなお悩みの方は
森山デンタルオフィス新松戸
おとなこども歯科・矯正歯科のマウスピース型矯正装置をご検討ください!
MERIT
マウスピース矯正には
多くのメリットがあります
1日20時間以上お口にいれる必要があります。
着用時間が守られないと歯が計画どおりに動かず、治療が遅れる可能性があります。
01
目立ちにくい
透明なマウスピースを使用して矯正治療を行うため目立ちにくく、できるだけ周囲にバレずに矯正治療を行いたい方にご提案しています。
02
取り外しが可能
マウスピースはいつでも自由に取り外すことができます。食事や歯みがきは通常通り行うことができ、ストレスも少なく快適です。
03
違和感・痛みが少ない
ワイヤー矯正(ブラケット矯正)と比較して少しずつ歯を動かすため、痛みや、歯にかかる負担を軽減します。
04
通院回数が
少ない
マウスピース作製後、来院時に治療終了までのマウスピースを全てお渡しし、自宅で交換しながら治療を行っていただくため、通院回数は平均で1~3ヶ月に1回程度です。
05
金属アレルギーの
心配がない
マウスピースの素材は、生体親和性の高い医療用ポリウレタンを使用しているため、金属アレルギーの心配がありません。
06
幅広い症例に
対応できる
インビザラインには、様々な種類があるため、年齢や症状に合わせた幅広い対応が可能です。
※症例によっては難しい場合もございます。

カウンセリング・診断
- およその費用と治療期間
- 実際の治療実績の紹介
- 患者様のご質問に
歯科医師がお答え
TREATMENT
森山デンタルオフィス新松戸
おとなこども歯科・矯正歯科の矯正治療
TREATMENT 01
日本で22名しかいない
インビザライン指導医が
治療計画監修※2022年1月現在
Doctor
治療計画監修
越智 信行
略歴
-
- 2007年
- SCRP 日本代表選考会にて発表
-
- 2008年
- 九州歯科大学卒業
-
- 2009年
- 大阪歯科大学附属病院臨床研修過程終了 研修終了後、大阪、神奈川、東京にて勤務医、 分院長を経験
-
- 2015年
- 日本顎咬合学会 総会 優秀発表賞 受賞
-
- 2016年
- 「神保町タワー歯科・矯正歯科」を開業
-
- 2019年9月
- 臨床研修指導医講習会修了
-
- 2021年9月
- インビザライン公認講師
- インビザライン
公認講師とは?
-
日本に十数名のインビザライン指導医のことです。インビザライン・ジャパン社から依頼を受け、インビザライン治療を提供している先生への指導を行っています。
TREATMENT 02
小児矯正にも対応
当院では、小児用マウスピース矯正「インビザラインファースト」を新松戸で唯一導入しており、多くの子供の患者様にも矯正治療を受けていただいております。
取り外し可能な特許取得の特別な素材の矯正装置のため、透明で目立たず、出っ張りもないためお口を傷つけずにできる矯正治療です。
当院は小児歯科も診療しておりますので、矯正治療以外の様々なお子様の口のトラブルも含めて対応いたします。
院長は
インビザライン
プラチナドクター
当院の院長は、インビザライン治療実績が累計500症例以上の医師が認定されるインビザラインプラチナドクターに認定されています。経験豊富な院長がカウンセリングから歯並びがきれいになるまで、責任を持ってサポートいたします。
TREATMENT 03
一般の歯科治療も可能
当院は総合的な歯科医院のため、矯正治療中のむし歯など、様々なトラブルに迅速に対応できます。
また歯並びが整った後も健康な口腔内を維持するためには、定期的なメンテナンスが重要です。矯正治療後もかかりつけの医師として、長期にわたり、患者様の口腔内の健康をトータル的にサポートいたします。
TREATMENT 04
診療日のいつでも来院できる
一般的に矯正治療を行っている歯科医院は、矯正医の先生がその歯科医院に出勤する日だけ矯正治療の予約が取れるので、何かトラブルがあってもすぐに診てもらえない、自分の予定と合わないので通いづらいといったことが起こります。
しかし、当院では、矯正治療を担当するのは院長なので、月曜日から土曜日までいつでも来院することができ、何か装置に関して気になること、トラブルがあったときも電話で相談することができます。
地域のかかりつけ歯科として、治療終了まで手厚くサポートいたします。
TREATMENT 05
徹底した滅菌対策
患者様に不安無く治療を受けていただけるよう、感染対策の徹底に努めています。
治療で使用した器具は超音波洗浄機にて洗浄を行い、高圧蒸気滅菌器(オートクレーブ)にて徹底的に細菌とウイルスの処理を行います。その後、次に使用する直前までパッキングした状態で保管します。患者様にご利用いただく紙コップやエプロンなどは使い捨て製品を活用しています。その他にも、様々な対策を行っていますので、リラックスしてご来院いただければと思います。
できるだけ健康な歯は
抜かないように
抜かない矯正治療
矯正治療を検討するにあたり「抜歯をするか否か」は、とても気になることかと思います。当院では、患者様のかみ合わせ(咬合)の機能を支える大切な歯は、基本的に抜かず矯正治療を行うことを大切にしています。歯を抜かずに矯正治療をしたい、別の医院で抜歯をしなければいけないと言われたが抜きたくないという方は、一度当院にご相談ください。
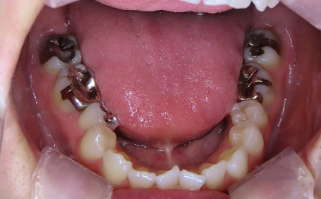
良くある抜歯ケースと当院の対応について
小臼歯(4番・5番)の抜歯
ワイヤー矯正は、装置による歯の動かし方の性質上、この歯の抜歯をしなければいけないケースが多くありますが、当院はマウスピース型矯正装置のインビザラインを使用しているため、小臼歯の抜歯をすることはほとんどありません。累計約300症例の歯列矯正をしていますが、現在抜歯したのは3症例ほどです。抜歯をした方は重度に出っ歯(上顎前突)の歯並びの方でした。
大臼歯(7番)の抜歯
こちらも小臼歯と同様にインビザラインで歯列矯正を行う性質上、抜歯はほとんどありませんが、累計約300症例のうち約10症例は、大臼歯の抜歯をしています。
親知らずの抜歯
多くの方は、親知らずは嚙み合わせの機能に関わらないため、歯並びを整えるうえで抜歯が必要なケースがあります。
当院では、親知らずの抜歯で難しいケース「埋伏智歯」などの場合は、大学病院にご紹介をして、口腔外科の専門の先生に、整った設備で抜歯をしていただきます。少し手間はかかりますが、確実に安全に治療を開始するためにご案内をしています。
INVISALIGN
世界100ヵ国で1000万人以上の方に利用されています(2021年5月時点)
インビザラインとは、透明なマウスピースを使用して歯並びを整えます。マウスピースを用いた矯正治療はアライナー矯正とも呼ばれ、インビザラインはアメリカのアラインテクノロジー社の製品の商標です。
インビザラインに限らず様々なメーカーが販売を行っていますが、インビザラインによる患者様は年々増え続けています。
※インビザラインは、薬機法対象外の矯正歯科装置であり医薬品副作用被害救済制度の対象外となる場合があります。
厚生労働省が定める
「歯科外来診療医療安全制加算」と
「歯科外来診療感染対策加算」の
施設基準と満たしています
緊急事態にも対応できるようAEDの常備や、他の医療機関との連携体制を整え、様々な施設基準や条件を満たしています。
新型コロナウイルス
対策
新型コロナウイルスの
感染対策も徹底しています
- 玄関・待合室への除菌液の設置
- 患者様が触れるドアノブや手すりなどの清拭
- 定期的な換気
- 非接触性体温計で全患者様へ検温
など
矯正治療は、
気になる箇所だけ
部分的に治療を行うことも
可能です
TREAT ONLY
THE AREAS OF
CONCERN
TROUBLE
CASE
幅広い症例に対応しています
インビザラインには、それぞれの症状や年齢に適した装置が
開発されており、幅広い症例に対応可能です。
上記以外の歯並びでお悩みの方もお気軽にご相談ください。
まずはご相談を
前歯の見た目でお悩みの方は少なくありません。
マウスピース型カスタムメイド矯正装置(インビザライン)で、気になる箇所だけ整えることが可能です(症例によっては適応できない場合もございます)。
当院の矯正治療では、まずは前歯のみの治療でお悩みが改善されるか、しっかりと診査・診断を行い、患者様にご納得いただけるまで治療について丁寧にご説明いたします。
iTeroの魅力
精密な型採り
3D光学スキャナーで歯型を採取するため、歯型はデジタルデータで保存されます。そのため、素材の変形や劣化を心配する必要がありません。より精密な歯型のデータで装置を作製します。
負担が少ない
従来の印象材(ピンク色の粘土のようなもの)を使用しないため、嘔吐反射が強い方でもストレスなく歯型を採取することができます。また、レントゲンとは異なり、放射線被曝の心配もありません。
短時間で終了
従来の印象材と比べ、iTeroであれば上下の歯型を短時間で採取することができます。治療に必要なデータをより早く集め、データをそのまま送ることでインビザラインが完成するまでの時間も短縮されます。
さらに治療開始から治療後の
歯並びを、
先にある程度
確認することができます
Outcome simulation
アウトカム
シミュレーション
アウトカムシミュレーションとは、簡易シミュレーションで、矯正治療後の歯並びを確認することができます。アウトカムシミュレーションを行うためには、3D光学スキャナー「iTero」を導入していなければなりません。
当院では、3D光学スキャナー「iTero」を導入し、iTeroで採取した歯型を、3Dシミュレーションソフトを通じて治療開始から治療終了までの歯の動きを確認します。矯正治療後のイメージがしやすく、モチベーションにも繋がります。
FLOW
患者様の口腔内に、機器を入れ、歯型をスキャンしていきます。
スキャンされた口腔内の情報は、モニターへデータとして送信されます。
インビザラインの種類
INVISALIGN FULL
CHECK
歯並び全体の矯正治療を
ご希望の方へ
インビザライン・コンプリヘンシブ
880,000円
※費用は税込み表記です。
INVISALIGN FIRST
CHECK
お子様の矯正治療を
ご希望の方へ
インビザライン・ファースト
550,000円
※費用は税込み表記です。

カウンセリング・診断
- およその費用と治療期間
- 実際の治療実績の紹介
- 患者様のご質問に
歯科医師がお答え
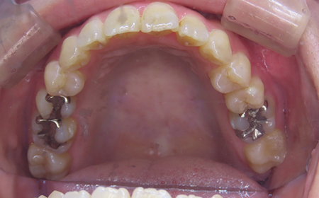
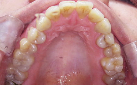
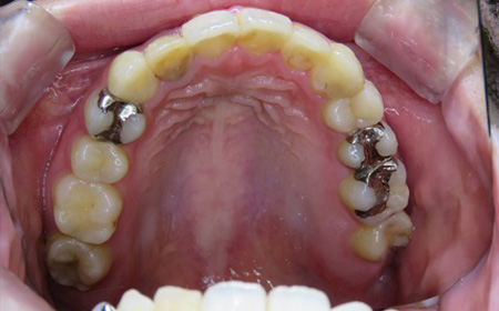
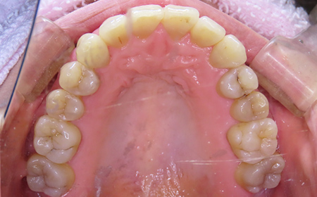
症例のご紹介
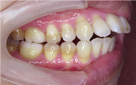
CASE01
Before
After
| 施術名 |
インビザラインGoを用いた矯正治療(叢生) |
| 治療期間 |
6ヶ月 |
| 治療費 |
437,800円(税込) |
| リスク |
マウスピース装置により疼痛・咬合時痛を生じる事があります。割れたり壊れたりする事があります。 |
歯科医師からのコメント
以前より予防歯科で定期的に来院されてた方ですが、「前歯のねじれ」や「歯のがたつき」を治したいとのことでインビザラインにて治療を開始しました。痛みもなく、短期間でキレイになりとても満足しているとのご感想でした!
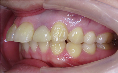
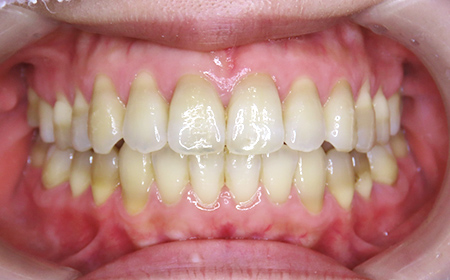
CASE02
Before
After
Before
After
| 施術名 |
インビザラインGoを用いた矯正治療(叢生) |
| 治療期間 |
4ヶ月 |
| 治療費 |
437,800円(税込) |
| リスク |
マウスピース装置により疼痛・咬合時痛を生じる事があります。割れたり壊れたりする事があります。 |
歯科医師からのコメント
人と話す機会の多いご職業で、以前より「前歯のがたつき」が気になるとのことでご相談にいらっしゃいました。仕事中も目立たず、仕事に支障がでなくてよかったと仰っており、とても満足しておられました。
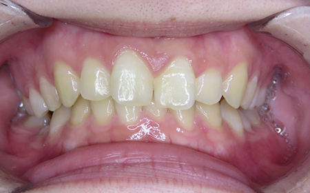
CASE03
Before
After
Before
After
| 施術名 |
インビザラインGoを用いた矯正治療(叢生) |
| 治療期間 |
6ヶ月 |
| 治療費 |
437,800円(税込) |
| リスク |
マウスピース装置により疼痛・咬合時痛を生じる事があります。割れたり壊れたりする事があります。 |
歯科医師からのコメント
「前歯のねじれとがたつきを治したい」でご来院されました。短期間で矯正治療が終わったので、とても喜んでおられました。矯正治療後も定期検診いらっしゃって歯並びを維持しておられます。
CASE04
Before
After
| 施術名 |
インビザラインコンプリヘンシブを用いた矯正治療(正中離開、過蓋咬合) |
| 治療期間 |
1年6ヶ月 |
| 治療費 |
880,000円(税込) |
| リスク |
マウスピース装置により疼痛・咬合時痛を生じる事があります。割れたり壊れたりする事があります。 |
歯科医師からのコメント
「すきっ歯を治したい」で来院されました。ゴムの使用やマウスピースの使用もきっちりと守られて計画通りに動きました。短期間で治療が終わり、大変喜んでおられました。
CASE05
Before
After
Before
After
| 施術名 |
インビザラインGoを用いた矯正治療(叢生) |
| 治療期間 |
6ヶ月 |
| 治療費 |
440,000円(税込) |
| リスク |
マウスピース装置により疼痛・咬合時痛を生じる事があります。割れたり壊れたりする事があります。 |
歯科医師からのコメント
「上の前歯のねじれを治したい」というご相談でいらっしゃいました。年も若く、治療に対しても積極的でしたので6ヶ月程で改善しました。見た目がよくなり、喜んでおられました。
CASE06
Before
After
Before
After
| 施術名 |
インビザラインGoを用いた矯正治療(叢生) |
| 治療期間 |
6ヶ月 |
| 治療費 |
440,000円(税込) |
| リスク |
マウスピース装置により疼痛・咬合時痛を生じる事があります。割れたり壊れたりする事があります。 |
歯科医師からのコメント
「上の前歯のねじれを治したい」で来院されました。軽度な問題でしたのでインビザラインGoにて治療をすすめていきました。とても早く終わり、綺麗になりましたと満足しておられました。
CASE07
Before
After
Before
After
| 施術名 |
インビザラインGoを用いた矯正治療(叢生) |
| 治療期間 |
6ヶ月 |
| 治療費 |
440,000円(税込) |
| リスク |
マウスピース装置により疼痛・咬合時痛を生じる事があります。割れたり壊れたりする事があります。 |
歯科医師からのコメント
「上顎前歯の歯並びが気になる」で来院されました。分析すると、軽度ながたつきでしたのでインビザラインGoにて治療をすすめていきました。早期に治療がおわり、とても喜んでおられました。
CASE08
Before
After
Before
After
Before
After
| 施術名 |
インビザラインコンプリヘンシブを用いた矯正治療(叢生) |
| 治療期間 |
1年 |
| 治療費 |
880,000円(税込) |
| リスク |
マウスピース装置により疼痛・咬合時痛を生じる事があります。割れたり壊れたりする事があります。 |
歯科医師からのコメント
「上顎八重歯が気になる」で来院されました。分析すると、軽度なねじれでしたのでインビザラインGoにて治療をすすめていきました。マウスピースを積極的に使用し、順調に治療がすすんでいきました。仕上がりにとても満足しておられました。
CASE09
Before
After
Before
After
Before
After
| 施術名 |
インビザラインコンプリヘンシブを用いた矯正治療(叢生) |
| 治療期間 |
1.5年 |
| 治療費 |
880,000円(税込) |
| リスク |
マウスピース装置により疼痛・咬合時痛を生じる事があります。割れたり壊れたりする事があります。 |
CASE10
Before
After
Before
After
Before
After
| 施術名 |
インビザラインコンプリヘンシブを用いた矯正治療(叢生) |
| 治療期間 |
2年 |
| 治療費 |
880,000円(税込) |
| リスク |
マウスピース装置により疼痛・咬合時痛を生じる事があります。割れたり壊れたりする事があります。 |
歯科医師からのコメント
「前歯のねじれとがたつきを解消したい」とのことで、インビザライン治療を開始しました。使用時間も守られて、歯の移動がほぼ計画通りにいきました。仕上がりにとても満足しておられました。
CASE11
Before
After
Before
After
Before
After
| 施術名 |
インビザラインコンプリヘンシブを用いた矯正治療(叢生) |
| 治療期間 |
1.5年 |
| 治療費 |
880,000円(税込) |
| リスク |
マウスピース装置により疼痛・咬合時痛を生じる事があります。割れたり壊れたりする事があります。 |
CASE12
Before
After
Before
After
| 施術名 |
インビザラインコンプリヘンシブを用いた矯正治療 (上顎前突、叢生) |
| 治療期間 |
2年 |
| 治療費 |
880,000円(税込) |
| リスク |
マウスピース装置により疼痛・咬合時痛を生じる事があります。割れたり壊れたりする事があります。 |
歯科医師からのコメント
「前歯をきれいに治したい」とのことで治療をスタートしました。気になっていた前歯が改善し、満足しておられました。インビザライン矯正をしてよかったとのご感想でした。
CASE13
Before
After
Before
After
Before
After
| 施術名 |
インビザラインコンプリヘンシブを用いた矯正治療 (叢生) |
| 治療期間 |
1.5年 |
| 治療費 |
880,000円(税込) |
| リスク |
マウスピース装置により疼痛・咬合時痛を生じる事があります。割れたり壊れたりする事があります。 |
歯科医師からのコメント
「上の前歯のねじれを治したい」とのことで来院されました。マウスピースの使用時間をいつも守っておられて、想定してた期間よりも早く終わりました。治療後の笑顔がとても綺麗になっていて、印象的でした。
CASE14
Before
After
Before
After
Before
After
| 施術名 |
インビザラインコンプリヘンシブを用いた矯正治療 (叢生) |
| 治療期間 |
1年6ヶ月 |
| 治療費 |
880,000円(税込) |
| リスク |
マウスピース装置により疼痛・咬合時痛を生じる事があります。割れたり壊れたりする事があります。 |
歯科医師からのコメント
「歯のがたつきを治したい」で来院されました。抜歯を伴う処置ではございましたが術後も痛みがなく、順調に治療がすすみました。歯を磨くのが楽になり清潔感がましたと喜んでおられました。
CASE15
Before
After
Before
After
Before
After
| 施術名 |
インビザラインコンプリヘンシブを用いた矯正治療 (叢生) |
| 治療期間 |
1年6ヶ月 |
| 治療費 |
880,000円(税込) |
| リスク |
マウスピース装置により疼痛・咬合時痛を生じる事があります。割れたり壊れたりする事があります。 |
歯科医師からのコメント
「がたつきを治したい」で来院されました。抜歯がありましたが、痛みもなく、使用時間を守りマウスピース矯正に積極的なのでだいたい予定通りに治療がすすみました。歯並びが改善し、喜んでおられました。
CASE16
Before
After
Before
After
Before
After
| 施術名 |
インビザラインコンプリヘンシブを用いた矯正治療 (上顎前突、叢生) |
| 治療期間 |
2年 |
| 治療費 |
880,000円(税込) |
| リスク |
マウスピース装置により疼痛・咬合時痛を生じる事があります。割れたり壊れたりする事があります。 |
歯科医師からのコメント
以前より「歯のがたつきと前歯が出ている」ことでお悩みでした。マウスピースとゴムを併用しました。歯並びが良くなってとても喜んでおられました。
CASE17
Before
After
Before
After
Before
After
| 施術名 |
インビザラインファースト、アクティビティを用いた矯正治療 (叢生) |
| 治療期間 |
1年6ヶ月 |
| 治療費 |
547,800円(税込) |
| リスク |
マウスピース装置により疼痛・咬合時痛を生じる事があります。割れたり壊れたりする事があります。 顎の成長に合わせて歯並びを改善するため、一時的に歯並びが悪い状態になることもあります。 また、本人自身がMFTを行わないと、効果が見込めないことがあります。 |
歯科医師からのコメント
歯並びが気になるとお母様と御来院され、矯正治療を開始しました。インビザラインファーストと筋機能装置を組み合わせて、叢生の改善に繋がっています。
CASE18
Before
After
Before
After
Before
After
| 施術名 |
インビザラインコンプリヘンシブを用いた矯正治療 (叢生) |
| 治療期間 |
2年 |
| 治療費 |
880,000円(税込) |
| リスク |
マウスピース装置により疼痛・咬合時痛を生じる事があります。割れたり壊れたりする事があります。 |
歯科医師からのコメント
以前より「歯のがたつきが気になる」ことでお悩みでした。奥に引っ込んでいた歯が並んで驚いておりました。矯正終わった後も、綺麗な状態を維持するためにメンテナンスに通うと仰っておりました。
CASE19
Before
After
Before
After
| 施術名 |
インビザラインコンプリヘンシブを用いた矯正治療 (上顎前突、叢生) |
| 治療期間 |
2年 |
| 治療費 |
880,000円(税込) |
| リスク |
マウスピース装置により疼痛・咬合時痛を生じる事があります。割れたり壊れたりする事があります。 |
歯科医師からのコメント
「上の前歯が出ている」がお困りで来院されました。マウスピースとゴムを使用時間を守って付けていらっしゃったので予定通り歯が動き、満足しておられました。
CASE20
Before
After
Before
After
| 施術名 |
インビザラインコンプリヘンシブを用いた矯正治療 (上顎前突、叢生) |
| 治療期間 |
2年 |
| 治療費 |
880,000円(税込) |
| リスク |
マウスピース装置により疼痛・咬合時痛を生じる事があります。割れたり壊れたりする事があります。 |
歯科医師からのコメント
「上の前歯が出ているのが困っている」で来院されました。定期的に来院され、マウスピース・ゴムの装着もしっかりとされて予定通り歯が動き、満足しておられました。口が閉じやすくなりましたと言っておられました。
CASE21
Before
After
Before
After
Before
After
| 施術名 |
インビザラインコンプリヘンシブを用いた矯正治療 (叢生) |
| 治療期間 |
2年 |
| 治療費 |
880,000円(税込) |
| リスク |
マウスピース装置により疼痛・咬合時痛を生じる事があります。割れたり壊れたりする事があります。 |
歯科医師からのコメント
「歯並びがわるい」で来院されました。下顎が小さく歯を並べるスペースがなかったので、抜歯をしましたが痛みもなくマウスピースの装着もしっかりとされて、予定通り歯が動き、満足しておられました。マウスピース矯正をして良かったとおっしゃっておられました。
CASE22
Before
After
Before
After
Before
After
| 施術名 |
インビザラインコンプリヘンシブを用いた矯正治療 (上顎前突) |
| 治療期間 |
2年 |
| 治療費 |
880,000円(税込) |
| リスク |
マウスピース装置により疼痛・咬合時痛を生じる事があります。割れたり壊れたりする事があります。 |
歯科医師からのコメント
「前歯がでている」で来院されました。抜歯はなく、前歯を後ろへさげられとても喜んでおられました。予定通り歯が動き、満足しておられました。
CASE23
Before
After
Before
After
Before
After
| 施術名 |
インビザラインコンプリヘンシブを用いた矯正治療 (叢生) |
| 治療期間 |
2年 |
| 治療費 |
880,000円(税込) |
| リスク |
マウスピース装置により疼痛・咬合時痛を生じる事があります。割れたり壊れたりする事があります。 |
歯科医師からのコメント
「歯のがたつきが気になる」で来院されました。抜歯はなく、IPR(歯のすき間を作る)をすることにより並べられたのでとても喜んでおりました。予定通り歯が動き、満足しておられました。
CASE24
Before
After
Before
After
Before
After
| 施術名 |
インビザラインコンプリヘンシブを用いた矯正治療 (叢生) |
| 治療期間 |
2年 |
| 治療費 |
880,000円(税込) |
| リスク |
マウスピース装置により疼痛・咬合時痛を生じる事があります。割れたり壊れたりする事があります。 |
歯科医師からのコメント
「がたつきを治したい」で来院されました。歯にスリットを入れ、すき間を利用して治しました。痛みもなく、マウスピースの装着もしっかりとされて、予定通り歯が動き、満足しておられました。マウスピース矯正をして良かったとおっしゃっておられました。
CASE25
Before
After
Before
After
Before
After
| 施術名 |
インビザラインコンプリヘンシブを用いた矯正治療 (叢生) |
| 治療期間 |
2年 |
| 治療費 |
880,000円(税込) |
| リスク |
マウスピース装置により疼痛・咬合時痛を生じる事があります。割れたり壊れたりする事があります。 |
歯科医師からのコメント
定期検診でいらっしゃっておりましたが、「歯のがたつきが気になる」でインビザラインを開始しました。マウスピースとゴムを使用時間を守って付けていらっしゃったので予定通り歯が動き、満足しておられました。
CASE26
Before
After
Before
After
Before
After
| 施術名 |
インビザラインコンプリヘンシブを用いた矯正治療 (上顎前突) |
| 治療期間 |
2年 |
| 治療費 |
880,000円(税込) |
| リスク |
マウスピース装置により疼痛・咬合時痛を生じる事があります。割れたり壊れたりする事があります。 |
歯科医師からのコメント
「前歯をひっこめたい」で来院されました。抜歯はせずとも前歯を後ろへさげられとても喜んでおりました。予定通り歯が動き、満足しておられました。
CASE27
Before
After
Before
After
Before
After
Before
After
| 施術名 |
インビザラインコンプリヘンシブを用いた矯正治療 (上顎前突、叢生) |
| 治療期間 |
2年 |
| 治療費 |
880,000円(税込) |
| リスク |
マウスピース装置により疼痛・咬合時痛を生じる事があります。割れたり壊れたりする事があります。 |
歯科医師からのコメント
「前歯を引っ込めたい。がたつきが気になる」で来院されました。抜歯はせず奥歯を後ろにに引っ込め、前歯を後ろへさげられとても喜んでおりました。予定通り歯が動き、とても満足しておられました。
CASE28
Before
After
Before
After
Before
After
Before
After
| 施術名 |
インビザラインコンプリヘンシブを用いた矯正治療 (叢生) |
| 治療期間 |
2年 |
| 治療費 |
880,000円(税込) |
| リスク |
マウスピース装置により疼痛・咬合時痛を生じる事があります。割れたり壊れたりする事があります。 |
歯科医師からのコメント
「歯のがたつきが気になる」でインビザラインを開始しました。お仕事忙しい中でも、使用時間守って付けていらっしゃったので通り歯が動き、満足しておられました。
CASE29
Before
After
Before
After
Before
After
Before
After
| 施術名 |
インビザラインコンプリヘンシブを用いた矯正治療 (上顎前突) |
| 治療期間 |
2年 |
| 治療費 |
880,000円(税込) |
| リスク |
マウスピース装置により疼痛・咬合時痛を生じる事があります。割れたり壊れたりする事があります。 |
歯科医師からのコメント
「前歯がでているので引っ込めたい。」で来院されました。抜歯はせず、ゴムを併用し前歯を後ろへさげられとても喜んでおりました。予定通り歯が動き、満足しておられました。
CASE30
Before
After
Before
After
Before
After
Before
After
| 施術名 |
インビザラインコンプリヘンシブを用いた矯正治療 (上顎前突) |
| 治療期間 |
2年 |
| 治療費 |
880,000円(税込) |
| リスク |
マウスピース装置により疼痛・咬合時痛を生じる事があります。割れたり壊れたりする事があります。 |
歯科医師からのコメント
「前歯がでているので引っ込めたい。」で来院されました。抜歯はせず、ゴムの使用を併用し、前歯を後ろへさげられました。綺麗な歯並びになり、満足しておられました。
CASE31
Before
After
Before
After
Before
After
| 施術名 |
インビザラインコンプリヘンシブを用いた矯正治療 (叢生) |
| 治療期間 |
2年 |
| 治療費 |
880,000円(税込) |
| リスク |
マウスピース装置により疼痛・咬合時痛を生じる事があります。割れたり壊れたりする事があります。 |
歯科医師からのコメント
「歯並びが気になる」でインビザラインを開始しました。痛みもなく、シミュレーション通り歯が動き、満足しておられました。
CASE32
Before
After
Before
After
Before
After
| 施術名 |
インビザラインコンプリヘンシブを用いた矯正治療 (叢生) |
| 治療期間 |
2年 |
| 治療費 |
880,000円(税込) |
| リスク |
マウスピース装置により疼痛・咬合時痛を生じる事があります。割れたり壊れたりする事があります。 |
歯科医師からのコメント
「歯のがたつきとねじれが気になる」でインビザライン矯正を開始しました。痛みもなく、順調にすすみ、「がたつきとねじれ」も次第に解消してきて喜んでおられました。
CASE33
Before
After
Before
After
Before
After
| 施術名 |
インビザラインコンプリヘンシブを用いた矯正治療 (叢生) |
| 治療期間 |
1.5年 |
| 治療費 |
880,000円(税込) |
| リスク |
マウスピース装置により疼痛・咬合時痛を生じる事があります。割れたり壊れたりする事があります。 |
歯科医師からのコメント
「前歯のがたつきが気になる」で来院されました。3D画像により最終イメージを確認し、インビザラインを開始しました。痛みもなく、シミュレーション通り歯が動き、満足しておられました。
CASE34
Before
After
Before
After
Before
After
| 施術名 |
インビザラインコンプリヘンシブを用いた矯正治療 (叢生) |
| 治療期間 |
1.5年 |
| 治療費 |
880,000円(税込) |
| リスク |
マウスピース装置により疼痛・咬合時痛を生じる事があります。割れたり壊れたりする事があります。 |
歯科医師からのコメント
「乱ぐい歯が気になる」で来院されました。3D画像により最終イメージを確認し、インビザラインを開始しました。痛みもなく、シミュレーション通り歯が動き、矯正治療は終了となりました。
CASE35
Before
After
Before
After
Before
After
Before
After
| 施術名 |
インビザラインコンプリヘンシブを用いた矯正治療(下顎前突、受け口) |
| 治療期間 |
2年 |
| 治療費 |
880,000円(税込) |
| リスク |
マウスピース装置により疼痛・咬合時痛を生じる事があります。割れたり壊れたりする事があります。 |
歯科医師からのコメント
受け口が気になりご相談にいらっしゃいました。デジタル画像によりシュミレーションをみていただき将来の歯並びのイメージを共有し、開始しました。痛みもなく、受け口が改善してとても喜んでおられました。
CASE36
Before
After
Before
After
Before
After
| 施術名 |
インビザラインコンプリヘンシブを用いた矯正治療(叢生) |
| 治療期間 |
2年 |
| 治療費 |
880,000円(税込) |
| リスク |
マウスピース装置により疼痛・咬合時痛を生じる事があります。割れたり壊れたりする事があります。 |
歯科医師からのコメント
「前歯のがたつきと上の歯のねじれ」が気になりご相談にいらっしゃいました。毎回マウスピース装着時間を守られ、歯が予定通り動いていきました。痛みもなく、上の歯のねじれが改善してとても喜んでおられました。
CASE37
Before
After
Before
After
Before
After
| 施術名 |
インビザラインコンプリヘンシブを用いた矯正治療(叢生、捻転) |
| 治療期間 |
2年 |
| 治療費 |
880,000円(税込) |
| リスク |
マウスピース装置により疼痛・咬合時痛を生じる事があります。割れたり壊れたりする事があります。 |
歯科医師からのコメント
「上前歯のねじれ」が気になりご相談にいらっしゃいました。マウスピース装着が続けられるか不安とのことでしたが、スタッフ等の励ましにより装着時間を守られ、歯が予定通り動いていきました。痛みもなく、上の歯のねじれが改善してとても喜んでおられました。
CASE38
Before
After
Before
After
Before
After
Before
After
| 施術名 |
インビザラインコンプリヘンシブを用いた矯正治療(開口、上顎前突) |
| 治療期間 |
2年 |
| 治療費 |
880,000円(税込) |
| リスク |
マウスピース装置により疼痛・咬合時痛を生じる事があります。割れたり壊れたりする事があります。 |
歯科医師からのコメント
「前歯でかみにくい」でご相談にいらっしゃいました。マウスピース装着および「ゴムかけ」が必要でしたが、装着時間を守られ、歯が予定通り動いていきました。痛みもなく、歯が引っ込み、とても喜んでおられました。

カウンセリング・診断
- およその費用と治療期間
- 実際の治療実績の紹介
- 患者様のご質問に
歯科医師がお答え
FLOW
治療の流れ
01
矯正相談
お口に関する日常的なお悩みや、ご要望など、何でもご相談ください。
またお口の状態を確認させていただき、現在の様子を丁寧にご説明いたします。
02
精密検査・ご説明
治療計画を作成するため、口腔内写真やレントゲン撮影、iTeroでの歯型の採取など、様々な検査を行います。
検査結果を基に、治療について詳細にご説明いたします。
03
矯正治療開始
治療計画にご納得いただけましたら矯正治療を開始します。
マウスピースを作製し、マウスピースが医院に届きましたら患者様には毎日マウスピースを装着していただきます。
一定期間ごとに新しいマウスピースに交換し、経過を観察します(4~8週間ごとに通院していただきます)。
04
治療終了・保定
治療が終了した後は、キレイになった歯並びを定着させるための保定装置(リテーナー)を装着していただきます。
05
メンテナンス
保定期間が終了した後は、健康な口腔内を維持していただけるよう、定期的なメンテナンスにお越しください。
GREETING
ご挨拶
当院では、怖がらせないこと、不安にさせないことを心がけ、矯正治療を行っています
矯正治療は治療期間が長く、費用もかかるため、迷いや不安がある方がほとんどです。そういった思いを相談しやすいよう、担当の歯科医師がにこやかに応対いたします。ご説明する際には、専門用語を避けて分かりやすく治療方法ごとのメリットとデメリットの両方をお伝えいたします。
治療についてご理解・ご納得なさり、不安のない状態で矯正に臨んでいただければと思います。
森山デンタルオフィス新松戸 おとなこども歯科・矯正歯科では、
地域医療の向上と社会貢献を目指し
歯科治療に取り組んでおります
配慮された院内感染防止対策と充実したスタッフサポートにより私どもならきっと患者様の力になれると思っております。
不安なく丁寧で誠実な歯科治療を提供できるよう日々精進してまいります。
院長 森山 貴
MORIYAMA TAKASHI
略歴
-
- 1996年
- 東葛飾高等学校 卒業
-
- 2003年
- 東北大学歯学部 卒業
-
- 2008年
- 東京医科歯科大学歯学部専攻生(部分床義歯学講座) 修了
-
- 2008~2009年
- 東京医科歯科大学歯学部附属病院 義歯外来 勤務
-
- 2009~2011年
- インテリデント中央林間相模歯科 院長
-
- 2011年
- 森山デンタルオフィス新松戸 おとなこども歯科・矯正歯科を松戸にて開業

カウンセリング・診断
- およその費用と治療期間
- 実際の治療実績の紹介
- 患者様のご質問に
歯科医師がお答え
FEE
費用
| 相談料 |
無料 |
| 検査診断料 |
無料 |
| 乳歯・混合歯列期の治療 |
1期治療 |
550,000円 |
| インビザライン |
コンプリヘンシブ |
880,000円 |
| ファースト(子ども用) |
550,000円 |
| クリアブラケット+ホワイトワイヤー |
860,000円 |
| スマーティー |
767,800円 |
| 保定装置料(片顎) |
11,000円 |
| 管理料 |
土曜 |
4,400円 |
| 平日 |
3,300円 |
※費用は全て税込み表記です。
デンタルローンを利用した
お支払いが可能です
費用面で
諦めていた方へ
84回払い
月々
10,600円(税込み)
※初回のみ13,697円。
※金利は変動する可能性がございます。
DEDUCTION
医療費控除
1年間に10万円以上の
医療費を支払った場合、
納めた税金の一部が還付されます
自分自身や家族のために、その年の1月1日から12月31日までの間に10万円以上の医療費を支払った場合、税務署へ確定申告することで、治療費の一部が戻ってきます。領収書や通院の際にかかった経費の領収書などは大切に保管しておきましょう。